Más de 1.000 pacientes tratados.
Tecnología digital avanzada.
Equipo especializado en estética dental
Evitas sonreír en fotos o en público
No te gusta cómo están alineados tus dientes
Buscas una solución estética sin brackets
Llevas tiempo pensándolo pero no sabes por dónde empezar
Podemos ayudarte a cambiarla.
En tu primera visita:
Analizamos tu caso
Te explicamos todas las opciones
Te mostramos cómo podría quedar tu sonrisa
Y si te preocupa el precio, te ayudaremos con ello.
Empieza hoy mismo sin compromiso.
Nadie notará que llevas ortodoncia
Puedes quitarlos para comer o eventos
Sin molestias constantes ni urgencias
Ves el resultado antes de empezar
Así puede cambiar tu sonrisa.

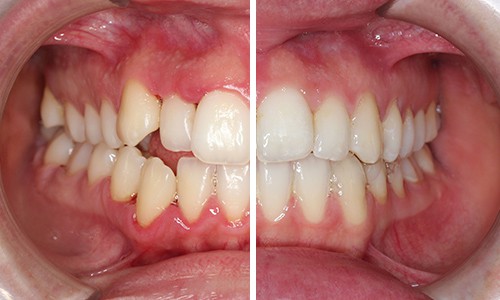
Resultado real tras tratamiento de ortodoncia invisible en Grupo Clínico Ariño

Blanqueamiento dental
Carillas estéticas
Diseño de sonrisa personalizado
Elige el tratamiento que mejor encaje contigo.
Más de 1000 pacientes en Teruel ya han confiado en nosotros.

Más de 5 años cuidando sonrisas de nuestros pacientes en Teruel.
Enfoque cercano y personalizado en cada tratamiento.

Especialista en cirugía y rehabilitación oral.
Más de 10 años de experiencia en tratamientos complejos.

Especialista en ortodoncia invisible y estética dental.
Diseña sonrisas naturales adaptadas a cada paciente.

Más de 7 años resolviendo casos con precisión y cuidado.
Enfocado en conservar y cuidar la salud dental a largo plazo.
Te acompañamos en todo el proceso, desde la primera visita hasta el resultado final.


“Trato cercano y muy profesional. Me sentí como en casa desde el primer día.”
— Vicente


“El resultado ha sido increíble. No parece una clínica dental típica.”
— M. Amparo


“Me solucionaron un problema que venía de otra clínica. Total confianza.”
— Sixto
Da el paso hacia la sonrisa que quieres
Ofrecemos soluciones completas para mejorar tu salud y estética dental.

Recupera tu sonrisa con piezas fijas, seguras y naturales

Mejora la forma y el color de tus dientes

Cuida tus encías y protege tu salud bucodental

Recupera la funcionalidad y estética de tu sonrisa

Alinea tus dientes de forma cómoda y discreta

Cuidamos la salud dental de los más pequeños

Elimina el dolor y conserva tu diente natural

Detecta a tiempo cualquier problema dental
Te ayudamos desde el primer día con un tratamiento adaptado a ti

Av. de Aragón, 14, 44002 Teruel
978 75 68 49
Lunes a Viernes
10:00 a 14:00 15:00 a 19:00

Grupo Ariño es una red de clínicas dentales enfocada en ofrecer tratamientos personalizados, tecnología avanzada y un trato cercano en cada paciente.